أسئلة اختبارات دولية
الأنسجة الحيوانية والأنسجة النباتية
الأنسجة الحيوانية
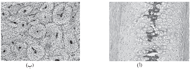
يبين الشكل الآتي نوعين من الأنسجة الضامة المتخصصة، لكل منهما شكله، وخصائصه:

السؤال الأول:
1. ما طبيعة المادة بين الخلوية في كل من نوعي الأنسجة؟
أ. غضروف: شبه صلبة.
ب. عظم: صلبة.
2. أفسر: تعرض شخص لحادث سير أدى إلى إصابته بخلع في العظام الطويلة ليده. هل سيتأثر بذلك أحد نوعي النسيج أو كلاهما؟ أبرر إجابتي.
لن يتأثر نوعا النسيج؛ لأنَّ الخلع يؤدي إلى تمزق الأوتار والأربطة والمكونة من نسيج ضام كثيف.
2. أتوقع: أي نوعي الأنسجة الضامة المتخصصة يستغرق وقتًا أطول للشفاء عند إصابته: النوع (أ) أم النوع (ب)؟ أبرر إجابتي.
النوع (أ) يستغرق وقتاً أطول للشفاء؛ لأنه لا يحتوي أوعية دموية.
السؤال الثاني:
أتوقع: العصبونات هي خلايا متخصصة جدًا، ولها العديد من التراكيب المتخصصة. ما الذي قد يحدث لشخص يعاني تشوها في الزوائد الشجرية؟
يحدث خلل في نقل السيالات العصبية بين العصبونات المختلفة، وهناك أمراض كثيرة مرتبطة بتلف الزوائد الشجرية، مثل: الشيزوفرينيا، والتوحد، والاكتئاب، والتوتر، وغيرها.
السؤال الثالث:
أفسر: الخلايا المكونة للجلد والشعيرات الدموية والحويصلات الهوائية، جميعها خلايا طلائية حرشفية، تعمل على حماية الجلد من عوامل البيئة الخارجية، وتسمح بالتبادل الفاعل للغازات وغيرها في كل من الشعيرات الدموية والحويصلات الهوائية. كيف يمكن لهذه الخلايا أداء هاتين الوظيفتين المختلفتين في آن معًا؟
تختلف وظائف الأنسجة الطلائية باختلاف أنواعها وعدد طبقاتها والإضافات الموجودة فيها، وبذلك يمكنها أداء وظائف عدة.
السؤال الرابع:
بناءً على دراستي موضوع الأنسجة الحيوانية، أي أنواعها الرئيسة أكثر انتشارًا في جسم الإنسان؟
الأنسجة الضامة هي الأكثر انتشارًا في أجسام الكائنات الحية، فهي الأنسجة التي تربط وتفصل الأنسجة والأعضاء الأخرى عن بعضها.
السؤال الخامس:
أناقش: من الوظائف الرئيسة للنسيج الضام الربط بين الأعضاء والأجهزة. كيف يؤدي الدم هذه الوظيفة؟
الأنسجة الضامة تتكون من خلايا تنتشر في مادة بين خلوية، وتربط بين أنسجة الجسم، يُعَدُّ الدم نسيجا ضاما؛ لأنه يربط أجهزة الجسم المختلفة، حيث ينقل الأكسجين والغذاء إلى أجزاء الجسم جميعها، كما ينقل الفضلات ليتم التخلص منها.
السؤال السادس:
أفكر: أعداد الخلايا الدبقية والعصبونات الموصلة أكبر بكثير من أعداد العصبونات المحركة والحسية. أين توجد هذه الخلايا؟ ما وظائفها؟
توجد هذه الخلايا في الجهاز العصبي المركزي والطرفي وتؤدي وظائف عدة أهمها حماية العصبونات وإمدادها بالطاقة والغذاء.
الأنسجة النباتية
يبين الشكل الآتي نوعين من الأنسجة الوعائية في النباتات، كل منهما يختلف عن الآخر من حيث التركيب، والوظيفة:

السؤال الأول:
1. أتوقع: بناءً على معلوماتي، أي نوعي الأنسجة الوعائية أسرع وأكثر كفاءة في نقل المواد: النوع (أ) أم النوع (ب)؟ أبرر إجابتي.
النوع (أ): لأن الأوعية الخشبية مجوفة من الداخل، حيث إنها خلايا ميتة تفتقر إلى وجود النواة والسيتوبلازم، فيسمح بمرور الماء منها بحرية، في حين أن وجود الصفائح الغربالية في الأنابيب الغربالية في النوع (ب) ووجود بعض العضيات يبطئ حركة المواد عبرها.
2. أستنتج: أي نوعي الأنسجة الوعائية اتجاه انتقال المواد فيه يكون إلى الأعلى والأسفل في النباتات: اللحاء أم الخشب؟
اللحاء.
3. أتنبأ: لماذا لا يحتوي النسيج في النوع (أ) على خلايا مرافقة؟
لأن الأوعية الخشبية في الخشب خلايا ميتة لا تحتاج إلى الخلايا المرافقة، في حين أن الأنابيب الغربالية في اللحاء تفتقر إلى عضيات كثيرة؛ لذلك تحتاج إلى الخلايا المرافقة لتزويدها بالطاقة اللازمة.
السؤال الثاني:
بناءً على دراستي موضوع الأنسجة النباتية، أجيب عن الأسئلة الآتية:
1. أستنتج: أي أنواع الأنسجة النباتية يشبه جهاز الدوران في الإنسان من حيث الوظيفة؟
النسيج الوعائي.
2. أتوقع: أي أنواع الأنسجة النباتية أكثر انتشارًا في النباتات؟
النسيج الأساسي.
3. أتنبأ: ما اسم الأنسجة النباتية التي ساعدت على انتشار النباتات في الأنظمة البيئية، وتكيفها للعيش على اليابسة؟
الأنسجة الوعائية.
السؤال الثالث:
معتمدًا الشكل المجاور، أجيب عن الأسئلة الآتية:
1. أتنبأ: أي أجزاء النبات يحتوي على هذه التراكيب؟
معظم الأوراق وبعض سيقان النباتات.
2. أستنتج: أَيهما يمثل ثغرًا مغلقًا: الشكل (أ) أم الشكل (ب)؟
(أ).
3. أتوقع: كم عدد الخلايا الحارسة التي تحيط بـ 6 ثغور على سطح ورقة نبات ما؟
(12) ثغر.
إعداد : شبكة منهاجي التعليمية
19 / 03 / 2026
النقاشات